Servicii

Este esențial să realizăm investigațiile radiologice care ni se cer, pentru ca diagnosticul să fie corect, iar tratamentul, unul de succes.

Nu știi de ce au nevoie dinții tăi? Descoperă ce servicii oferim și când ar trebui să le iei în considerare.

Dental X-ray of the patient
Beneficiile Gottrich Dental

De ce să alegi Gottrich Dental?

Simplu! Din respectul pentru pacienții noștri ne-am dedicat cariera în a servi spre binele comunității și am investit în aparatură de ultimă generație ca tu să te bucuri de un zambet perfect. 

  • Profesionalism și pasiune

    Datorită implicării și experienței acumulate în radiologie dentară, oferim pacienților servicii revoluționare, punându-le zâmbetul pe buze de fiecare dată.

  • Siguranță și confort pentru pacienți

    Prioritatea noastră este ca pacientul să beneficieze de serviciile potrivite nevoilor sale, garantând radiografii de cea mai înaltă calitate, realizate în condiții de siguranță și confort, cu doze minime de radiații.

  • Echipamente de ultimă generație

    Utilizăm aparatură și tehnologii moderne cu doze minime de radiații atât pentru medicii dentiști, cât și pentru pacienții noștri.

Servicii & Prețuri

La GOTTRICH RADIOLOGY, utilizăm tehnologie de ultimă generație pentru a oferi medicilor stomatologi imagini clare și detaliate, esențiale pentru un diagnostic corect și un plan de tratament de succes.

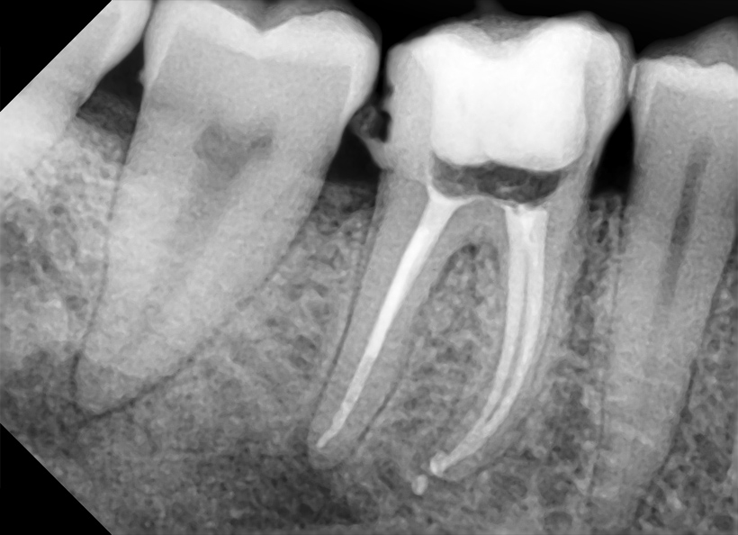
RX Retro Alveolară

Radiografia retroalveolară este o investigație de detaliu, esențială pentru vizualizarea unuia sau a mai multor dinți în întregime, de la coroană până la vârful rădăcinii.

50 RON

OPG (Ortopantomogramă)

Ortopantomograma, sau radiografia panoramică, oferă o imagine de ansamblu a ambelor arcade dentare, a sinusurilor maxilare și a articulațiilor temporo-mandibulare.

110 RON
Bite Wing Panoramic Gottrich.png

Bite-wing panoramic

Radiografia “bite-wing” sau “în mușcătură” este folosită pentru a observa coroanele dinților posteriori precum și cantitatea de os alveolar de la acest nivel.

110 RON

3D Endo

Tomografia dentară 3D oferă informații relevante prin generarea de imagini tridimensionale: axiale, sagitale și panoramice ale arcadei dentare.

190 RON

3D Cadran

Tomografia computerizată (CBCT) pe un cadran dentar permite analiza tridimensională detaliată a unui grup de dinți și a structurilor osoase adiacente.

240 RON

3D Arcadă

Tomografia computerizată (CBCT) pentru o arcadă completă (maxilară sau mandibulară) oferă o imagine 3D exhaustivă, necesară în planificări complexe de reabilitare orală.

280 RON

3D Total

Tomografia computerizată (CBCT) totală acoperă ambele arcade dentare și o parte din structurile maxilo-faciale, fiind investigația 3D cea mai cuprinzătoare.

300 RON

3D SAF

Analiza 3D SAF (Sinus & Airway Focused) este o investigație specializată pentru evaluarea tridimensională a căilor aeriene superioare și a sinusurilor maxilare.

350 RON

3D ATM

Tomografia computerizată (CBCT) a articulației temporo-mandibulare (ATM) permite o analiză 3D detaliată a componentelor osoase ale acestei articulații.

300 RON

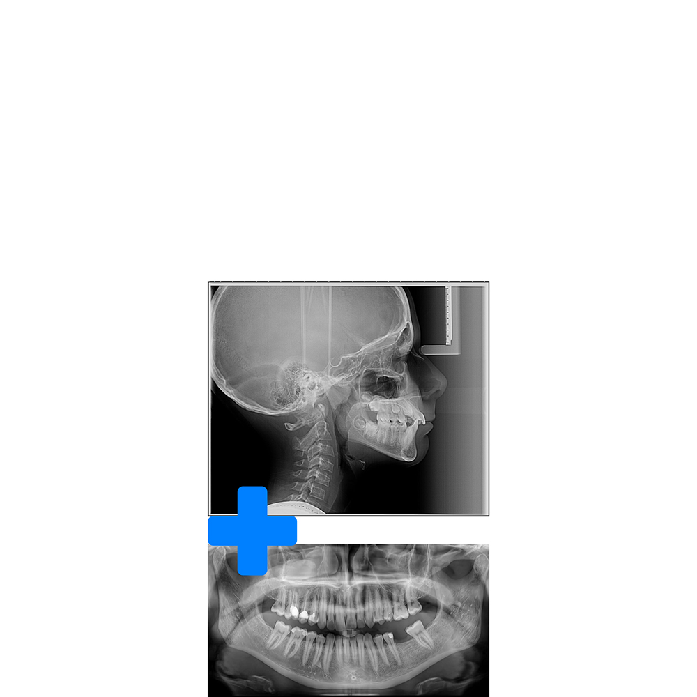
Pachet Orto (OPG+CEPH)

Pachetul ortodontic include radiografia panoramică (OPG) și teleradiografia de profil (CEPH), fiind setul standard de investigații necesar pentru începerea unui tratament ortodontic.

210 RON
ortopantomografia OPG Gottrich

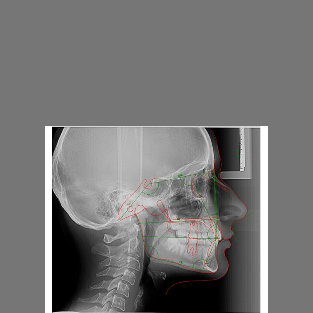
Craniu Lateral (CEPH)

Teleradiografia de craniu laterală (CEPH) este o investigație specializată utilizată în principal în ortodonție pentru analiza de profil.

110 RON

SAF 2D

Analiza SAF 2D este o investigație specializată pentru evaluarea în plan bidimensional a căilor aeriene superioare și a sinusurilor.

110 RON

Analiză Cefalometrică

Analiza cefalometrică este procesul de măsurare și interpretare a teleradiografiei de profil, realizat digital pentru o precizie maximă.

200 RON

Carpus (Evaluare Vârstă Osoasă)

Radiografia de carp (încheietura mâinii) este utilizată în ortodonție pentru a determina stadiul de creștere al pacientului (vârsta osoasă).

150 RON

Imprimare Film/Stick USB

La cerere, oferim imprimarea investigațiilor pe film radiologic de înaltă calitate sau salvarea acestora în format digital pe un stick USB.

30 RON

Din dorința de a oferi calitate în ceea ce înseamnă radiografii dentare, am deschis un centru de radiologie dentară digitală în Reșita. 

Copyright © 2021Gottrich Radiology, All rights reserved. Powered by RevolutionLabs.ro
Right Menu Icon